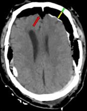
Acute pneumocephalus in neurosurgical patients operated on in supine and prone position
Acute post-surgical pneumocephalus is frequent in patients with cranioencephalic pathology operated on in the supine and prone position. The distribution and degrees of pneumocephalus may be related to sex, the type of cranioencephalic pathology, and the depth of the surgical lesion.







