Featured Article

        Endovascular treatment with coils of aneurysm of the anterior communicating artery, angiographic control, and evolution according to packing density: case series.  
  
  GABRIEL PONCE M, OSMAR ORDINOLA C, DANTE VALER G., GIANCARLO SAAL Z., JESÚS FLORES Q., RODOLFO RODRÍGUEZ V.
  
        Selective posterior corpus callosotomy in a child with Lennox–Gastaut Syndrome: case report  
  
  ZINDYA BARRIENTOS M., MARCO MEJÍA T., FERNANDO PALACIOS S. 
  
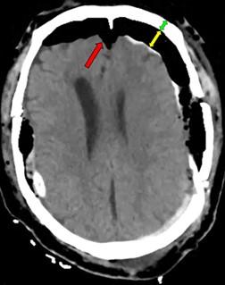
        Central diabetes insipidus post-ventriculostomy. case report  
  
  LIZERT AQUINO-FABIÁN, ERMITAÑO BAUTISTA C.
  
        Experience in lumbar microdiscectomy at the Guillermo Almenara Irigoyen Hospital 2018 -2021    
  
  JOHN VARGAS U., RAÚL MARTÍNEZ S., EDUARDO LAOS P., ALFONSO BASURCO C.
  
        Beginnings of endoscopy spine surgery in Peru  
  
  JERSON FLORES C.
  
        Prognostic factors in the survival of patients operated of astrocytoma grade III at the Guillermo Almenara Hospital Lima- Peru. 2003-2009  
  
  JERSON FLORES C., ALEJANDRO ROSELL O.
  
        Glioma of the optic pathway and hypothalamus in a child: a case report  
  
  JOHN VARGAS U., MANUEL LAZÓN A., RAÚL MARTÍNEZ S., FERNANDO PALACIOS S.
  
        Giant occipital encephalocele in a newborn; surgical treatment. Case report  
  
  GABRIELA ESPIN O., ALICIA TORRES M., JOSE RODOLFO BERNAL C., JESUS CASTRO V., ANDREA PAEZ C., BYRON SANUNGA V., CARLOS MORALES T., ENRIQUE CASTRO S.
  
        Articulated robotic arm for assistance in interventional radiology  
  
  ROLANDO ORTEGA, IVAN ORTEGA, DEISY ACOSTA, JORGE POMA, LUZ CASTAÑEDA
  
        Intracerebral hemorrhage of basal ganglia, surgical management through transinsular transylvian approach. case report  
  
  GIUSEPPE ROJAS P.1a, JESÚS FLORES Q.2b
  
        Aesthetic and psychological outcomes of cranioplasty, polymethyl methacrylate versus titanium mesh  
  
  ESSAM M. YOUSSEF, MD, DINA A. SELEEM, MD, MOHAMED A. YAHIA, MD
  
        Impact of the COVID-19 pandemic on patients with rupture of intracranial aneurysm at the Dos de Mayo National Hospital in Lima Peru  
  
  JOSÉ LUIS ACHA S., JULIO JOSYMAR QUISPE D.
  
        Mild cranioencephalic trauma in the child population. Experience at the Baca Ortiz Hospital, Quito-Ecuador, 2016-2019  
  
  ANDREA PAEZ T., ALICIA TORRES M., ADRIANA GONZÁLEZ G., RODOLFO BERNAL C., JESÚS CASTRO V.
  
        Presigmoid transpetrous approach (partial petrosectomy) combined with subtemporal transtentorial approach for petroclival meningioma  
  
  FERNANDO PALACIOS S., MANUEL LAZON A., EDUARDO ROMERO V., ROMMEL RODRIGUEZ B.
  
        Orbital schwannoma, a rare entity. case report  
  
  JOHN VARGAS U., CAMILO CONTRERAS C., FERNANDO PALACIOS S., EDUARDO ROMERO V.
  Páginas
- 1
- 2
- 3
- 4
- siguiente ›
- última »
 
      










